
Cirugía de Base de Cráneo
Cirugía de la Base del Cráneo reúne la experiencia de cirujanos neurológicos, otorrinolaringólogos, neurólogos, oncólogos neurológicos, oncólogos radioterapeutas y personal de enfermería de cuidados intensivos en el tratamiento integral de trastornos de la base del cráneo. La base del cráneo, que es la región compleja en el piso de la cavidad craneal, es un lugar desafiante para la cirugía debido a su proximidad al cerebro, la cara y el cuello. Gracias a los avances en las técnicas microquirúrgicas y las imágenes de alta calidad han mejorado enormemente el pronóstico de los trastornos de la base del cráneo.
Anatomía de la base del cráneo
La base del cráneo es una superficie ósea irregular compleja sobre la que descansa el cerebro. Dentro de esta región se encuentran los principales vasos sanguíneos que suministran al cerebro nutrientes esenciales, y nervios importantes con sus vías de salida. El piso del cráneo se divide en tres regiones de adelante hacia atrás: los compartimentos anterior, medio y posterior.
El compartimento anterior es la región por encima de los ojos de una persona.
El compartimento medio es la región detrás de los ojos y se centra en la glándula pituitaria, un órgano necesario para una función hormonal adecuada.
El compartimento posterior contiene el tronco encefálico y el cerebelo. El tronco encefálico es la conexión entre el cerebro y la médula espinal, donde se originan los nervios que controlan la respiración, la presión arterial, los movimientos oculares, la deglución y otras funciones básicas. Esta conexión se produce a través de un gran orificio, conocido como foramen magno, dentro del centro del compartimento posterior. El cerebelo, que se encuentra detrás del foramen magno, está involucrado en la coordinación y el equilibrio.
El techo de la base del cráneo está compuesto por el cerebro mismo y una capa gruesa de tejido sobre la que descansa el cerebro, llamada tentorio.
A la complejidad de la región se suma el hecho de que cada compartimento de la base del cráneo se encuentra en un nivel diferente. El compartimento anterior es el más alto y el compartimento posterior el más bajo.

Trastornos de la base del cráneo
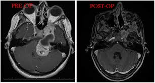
Puede ocurrir una amplia variedad de tumores dentro de la base del cráneo, incluidos los tumores que surgen del cerebro, el revestimiento del cerebro, los huesos de la base del cráneo o la glándula pituitaria. La base del cráneo también puede desarrollar tumores metastásicos, que se originan a partir de cánceres en otras partes del cuerpo.
Los pacientes con un tumor de la base del cráneo pueden experimentar síntomas como dolor y entumecimiento facial, dolor de cabeza, obstrucción nasal, dificultad para respirar, pérdida de audición y otros, dependiendo del tipo y tamaño del tumor. Los tumores de la base del cráneo se clasifican por su ubicación o tipo y pueden incluir meningiomas, schwannomas, cordomas y tumores metastásicos que se han diseminado desde otras áreas del cuerpo.
Los aneurismas también pueden ocurrir en la base del cráneo, y requieren la experiencia especializada de Base del Cráneo para una reparación exitosa.
Un aneurisma es una anomalía de los vasos sanguíneos y la base del cráneo es rica en arterias y venas, incluidas la arteria carótida interna, la arteria oftálmica, las arterias basilares y el seno venoso cavernoso.
sean benignos o malignos, casi todos los tumores de la base del cráneo requieren tratamiento para extirpar el tumor y prevenir complicaciones a medida que el tumor crece o se propaga. El tratamiento para los tumores de la base del cráneo puede incluir cirugía, radioterapia, radiocirugía, quimioterapia o una combinación de estos enfoques.